NO GAP Check up & Clean Package (BUPA & NIB Only) | CDBS Accepted
 Shop 4, 211-217 Queen Street St Marys, NSW 2760
 Shop 4, 211-217 Queen Street St Marys, NSW 2760

Gentle, Affordable & Technology Driven Dentistry

Lightsview Dentist
30+ years of dental experience. Friendly, efficient and considerate team. 
CUSTOM JAVASCRIPT / HTML

Gentle, Affordable &
Technology Driven Dentistry

30+ years of dental experience. Friendly, efficient and considerate team. 
CUSTOM JAVASCRIPT / HTML
Dentist St Marys
Welcome to
Pearl Dental Care
30+ Years of Experience
Same Day Dental Care
400+ Positive Google Reviews and Growing
BUPA and NIB Preferred Providers
Our Special Offers
Teeth Whitening

Teeth Whitening

◉ In-Chair Philips Zoom Teeth Whitening Only $490
(valued at $699)
◉ Take-Home Whitening Kit Only $249
(valued at $399)

Offers valid until 15 January 2026
Check-up & clean Dentists St Marys

Check-up & Clean

◉ Checkup + Clean + Fluoride Treatment at $175
◉ Checkup + Clean + Fluoride  Treatment + 2 X-rays (Intra/Extra Oral) at $195
◉ Gap-Free with BUPA / NIB
Our Quality Services
Hygiene Scale & Clean
Hygiene Scale & Clean
We believe prevention is key to a healthy mouth, hence why regular dental check-ups are essential as it reduces the likelihood of having painful dental emergencies that may affect your quality of life.
Children's Dentistry
Children's Dentistry
We are firm believers that dental care is vital for the whole family, no matter how young or old. That is why we offer children’s dentistry to give your child the best chance at a healthy, happy smile.
Dental Implants
Dental Implants
Do you want to permanently restore your smile? Dental implants may be the answer! Dental implants are a long lasting, natural looking option for a patient wanting to replace missing teeth.
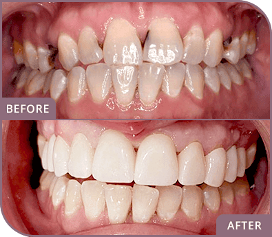
Cosmetic Dentistry
Cosmetic Dentistry
Cosmetic dentistry can help patients enhance their smile by fixing problems such as cracks and chips, broken teeth, discolouration, and misaligned teeth.
Clear Aligners
Clear Aligners
Looking for a straighter smile without the hassle of metal braces? Clear aligners offer a discreet, comfortable, and removable way to gently shift your teeth into place. Ideal for adults and teens alike!
Orthodontics
Orthodontics
Ready to improve your bite and alignment? Our orthodontic treatments can help correct crooked teeth, overcrowding, and jaw issues, giving you a healthier, more confident smile for life.
Is the fear of the dentist or anxiety preventing you from getting much needed dental treatment?
We provide twilight sedation or IV sedation at our St Marys dental clinic that will enable you to relax in the dentist’s chair and receive dental treatment. Best of all, you probably won’t remember much about it.

Contact Pearl Dental Care to learn more about IV sedation dentistry in St Marys or call us at (02) 9000 1288 to book an appointment .
Male Patient Dentists St Marys
What to Expect
History and examination Dentist St Marys
Exam and Evaluation
Our dentist will have a look around to identify problems or possible problem areas of your teeth and mouth. This time can be used to discuss any oral health or cosmetic dentistry desires you may have such as teeth whitening or alignment.
Diagnosis and treatment Dentist St Marys
Teeth Cleaning & X Rays
X Rays may be suggested to find hidden decay so we can take quick action before real problems take place.

We then proceed with professional teeth cleaning and polishing. This procedure cleans your teeth and gums deeper than daily brushing at home, and can help remove plaque and tartar before decay or gum disease sets in.
We warmly welcome you Dentist St Marys
Education and Advice
Once the exam and cleaning is complete, our dentist will discuss with you any problem areas that are found and share with you best practices to avoid future dental issues. 

Your Trusted Dental Professionals

Dr Mansoor Naseem
Dr Mansoor Naseem
Dental Surgeon – BDS ADC Accredited
Dr Mansoor’s fascinating journey in dentistry began in India, and since 2011, he has been a dedicated General Dental Surgeon. With a passion for excellence, he has pursued numerous short and long-term courses and continuing professional development to hone his skills. Driven by a special focus on surgical procedures (including wisdom teeth extraction), cosmetic dentistry, and dental implants, he remains committed to continuous learning in the field.
Dr SHABANAM Thavalengal
Dr SHABANAM Thavalengal
General Dentist
Dr Shabanam’s path in dentistry started in the vibrant city of Bengaluru, Karnataka, India. Her dedication to patient care and continuous learning have led her to pursue additional courses in veneers, root canals, aligners, and dental implants. Clear aligners and braces are special in her heart, among her many passions.
Dr Nova Hossain
Dr Nova Hossain
Associate Dentist
Dr Nova Hossain first started her dental journey while working at a private practice in Burwood as an Oral Health Therapist in 2016. It was here that she discovered her love for teeth and was inspired to pursue a career in dentistry. Dr Nova graduated from the University of Sydney in 2021 with a Doctor of Dental Medicine and received multiple academic merit scholarships, including the BOH (University of Sydney Merit Scholarship) and the DMD (H J V Cusack Memorial Prize) along the way.
See what others are smiling about 

Welcome to Pearl Dental Care

Pearl Dental Care has provided St Marys and surrounding areas with quality and comprehensive dental services for over 30 years. We believe in keeping our community healthy, and we’re committed to exceeding the expectations of our patients with cutting edge services. Let us provide you with the personalised care you deserve.
Payment Plans Offered
After consultation and examination, we will provide you with a tailored fixed price with no hidden fees.

 We provide interest-free payment plans that suit your budget. Don't let financial burden hold back the smile you have always desired for!  
Find us at St Marys
Shop 4, 211-217 Queen Street St Marys, NSW 2760
Clinic Hours
CUSTOM JAVASCRIPT / HTML
CUSTOM JAVASCRIPT / HTML
Ready. Set. Smile!
Got a question? Ready to make an appointment?
Click the button below, fill up the form and we’ll be in touch with you right away. 
Happy Patient Dentist St Marys
Terms and Conditions
Prices do vary depending on the complexity of your case.
If you need to cancel your appointment for any reason, please call our office on time so we can treat other people during your scheduled time. A 72-hour cancellation policy applies.

Prices do vary depending on the complexity of your case.
We'll share a specific quote and various payment options with you at your consultation.
Why we ask for a refundable reservation fee?
Due to the extensive amount of time our staff and dentist devote to preparing and reserving uninterrupted time for appointments, we require a refundable fee when securing your booking. It will be refunded on your booking date unless you fail to attend and fail to notify us 72 hours before the appointment. Download our cancellation policy here.
Dentist Registration Details
Dr Mansoor Saifuddin Naseem AHPRA Registration No DEN0001978647, type: General
Dr Shabanam Thavalengal Abdulrahiman AHPRA Registration No DEN0002312721, type: General
Dr Nova Mehjabin Hossain AHPRA Registration No DEN0002000497, type: General
Note: Any surgical or invasive procedure carries risks. Before proceeding, you should seek a second opinion from an appropriately qualified health practitioner.
Patient Images are published with consent and are intended for educational purposes only. Results vary between individuals, and all dental procedures carry risks. Please seek professional advice from your dentist to determine whether a treatment is appropriate for your circumstances.
NO GAP Check up & Clean Package
(BUPA & NIB Only) | CDBS Accepted
CUSTOM JAVASCRIPT / HTML